Wann ist eine Knieprothese sinnvoll?
14. Januar 2026
Das Kniegelenk ist eines der grössten und am stärksten beanspruchten Gelenke des menschlichen Körpers. Als sogenanntes Dreh-Scharniergelenk ermöglicht es Beugen und Strecken und muss dabei hohen Belastungen standhalten. Bereits beim schnellen Gehen wirkt das Drei- bis Vierfache des eigenen Körpergewichts auf das Knie. Stabilität erhält das Gelenk durch einen komplexen Bandapparat sowie durch eine kräftige, das Knie umgebende Muskulatur.
Am Landesspital werden unter der Leitung von Dr. med. Matthias Eppinger unfallbedingte Verletzungen sowie Fehlbelastungen behandelt, die zu Gelenkschäden und zur Entwicklung einer Arthrose führen können.
Was ist eine Kniearthrose?
Arthrose ist eine chronische Gelenkerkrankung, bei der sich die schützende Knorpelschicht im Knie allmählich abbaut. Dieser Knorpel sorgt normalerweise dafür, dass Bewegungen reibungsarm und schmerzfrei möglich sind. Geht er verloren, reiben die Knochen direkt aufeinander, was zu Schmerzen und Bewegungseinschränkungen führt. Verletzungen, Überlastungen, Entzündungen oder rheumatische Erkrankungen können diesen Prozess begünstigen.
Typische Beschwerden
Eine Kniearthrose kann sich durch unterschiedliche Symptome bemerkbar machen, unter anderem:
- Schmerzen beim Treppensteigen oder beim Gehen auf unebenem Gelände
- Anlaufschmerzen nach Ruhephasen
- Schmerzen hinter der Kniescheibe
- knackende oder reibende Geräusche im Knie
- ein Gefühl von Instabilität
Wie wird die Diagnose gestellt?
Bei der körperlichen Untersuchung achten Orthopädinnen und Orthopäden insbesondere auf Fehlstellungen, da einseitige Belastungen den Gelenkverschleiss beschleunigen können. Ergänzend kommen bildgebende Verfahren wie Röntgenaufnahmen und – je nach Fragestellung – eine Magnetresonanztomographie (MRT) zum Einsatz. So lässt sich beurteilen, wie stark der Knorpel bereits abgebaut ist.
Behandlungsmöglichkeiten
Eine Arthrose ist derzeit nicht heilbar. Ziel der Behandlung ist es, das Fortschreiten der Erkrankung zu verlangsamen, Schmerzen zu lindern und die Beweglichkeit möglichst lange zu erhalten. Dazu gehören konservative Massnahmen wie Physiotherapie, entzündungshemmende Schmerzmittel oder ergänzende Verfahren wie die Eigenbluttherapie (ACP).
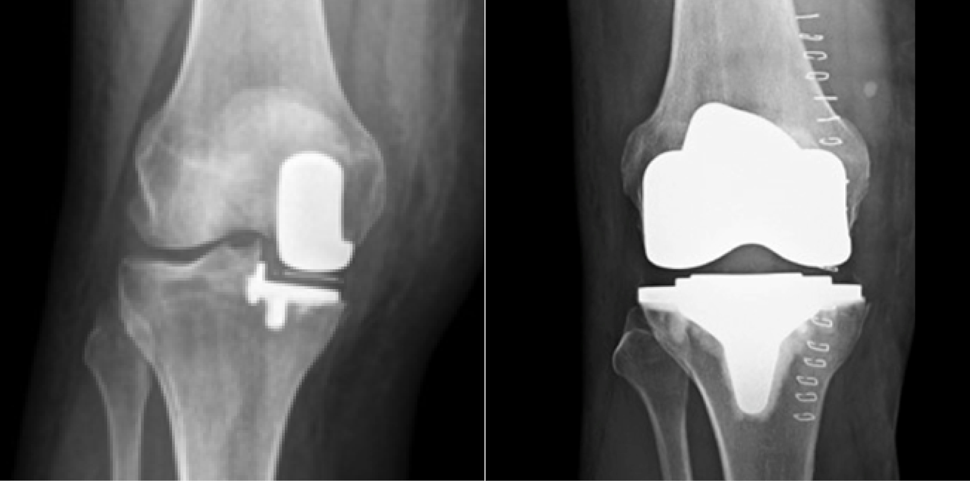
Sind diese Möglichkeiten ausgeschöpft und bestehen weiterhin starke Beschwerden, kann ein operativer Gelenkersatz in Betracht gezogen werden. Je nach Ausbreitung der Arthrose erfolgt entweder ein Teilersatz des Kniegelenks (unikondyläre Schlittenprothese) oder ein vollständiger Ersatz in Form einer Totalendoprothese (TEP).

«Eine Knieprothese ist kein erster Schritt, sondern immer das Ergebnis einer sorgfältigen Abwägung. Ziel ist es, Schmerzen zu reduzieren und den Patientinnen und Patienten wieder mehr Lebensqualität und Beweglichkeit zu ermöglichen.»
Dr. med. Matthias Eppinger

Operation und Rehabilitation
Dr. med. Matthias Eppinger verfügt über langjährige Erfahrung in der Implantation von Knieprothesen. In komplexen Fällen wird mit patientenspezifischer Instrumentierung gearbeitet, basierend auf individuellen 3D-Knochenmodellen und speziell angefertigten Schnittblöcken.
In der Regel können Patientinnen und Patienten nach etwa fünf Tagen nach Hause oder in eine Rehabilitationsklinik entlassen werden. Bereits unmittelbar nach der Operation beginnen sie mit gezielten Bewegungsübungen unter Vollbelastung an Unterarmgehstützen. Nach einer Totalendoprothese wird üblicherweise eine ambulante oder stationäre Rehabilitation empfohlen, um Kraft, Beweglichkeit und Sicherheit im Alltag weiter aufzubauen.
Knie- und HüftprothetikSprechstunden/Anmeldungen/Nachkontrollen
Montag bis Freitag
8.00 – 17.00 Uhr
ambulatorien@landesspital.li
T +423 235 44 69
F +423 235 45 41